病症介绍

根尖周炎是指发生在牙齿根尖部及其周围组织的炎症性疾病,表现为牙骨质、牙周膜和牙槽骨发生的炎症反应。
症状
根尖周炎根据临床症状的急缓,根尖周炎可分为急性根尖周炎和慢性根尖周炎。
1、急性根尖周炎:
疼痛为自发性、持续性痛,且范围局限,患者能明确指出患牙。继续发展则形成急性根尖脓肿,疼痛加剧、叩痛明显且有持续性跳痛。
2、慢性根尖周炎:
(1)根尖周肉芽肿:一般无自发痛,仅觉咀嚼不适,咬骀无力,叩诊时有异样感,患牙可有伸长的感觉,机体抵抗力低时可急性发作。
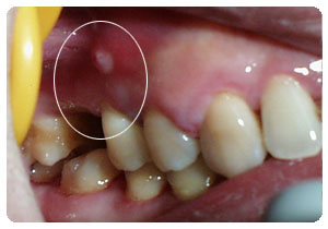
(2)慢性根尖周脓肿:多无自觉症状,在患牙的根尖区黏膜处可有瘘管,瘘管口处常有肉芽组织增生,可有脓液自瘘管排出,因有瘘管引流,不易转为急性炎症。
(3)根尖囊肿:多无自觉症状,牙齿变色,牙片可显示根尖部的囊肿,若囊肿增大,迫使周围骨质吸收,在患牙根尖部黏膜多呈半圆形隆起,有乒乓球感。
危害
1.发生根尖周炎时,根尖周血管会扩张、水肿、充血,刺激根尖周神经,产生剧烈疼痛。
2.当急性根尖周炎发展到急性根尖脓肿时,疼痛更为明显和剧烈,面部肿大更为明显,范围也明显增大,到晚期局部脓肿波动感变的明显;当脓液增多、压力变大时,则穿透骨膜,脓液向外排出。
3.如果根尖周炎没有得到及时治疗,病变进一步发展,就会出现以下情况:
①外界刺激不大,病变局限,形成慢性根尖肉芽肿;
②刺激强度大,破坏不断增强,局部渗出物质增多,脓液从抵抗力比较薄弱的地方排出,形成瘘道,破亏于口腔黏膜的排脓孔,久而久之就形成的瘘道叫龈瘘,少数穿通皮肤的,形成皮窦。
治疗方法
1、牙髓病变是局限的或是可逆的,选择以保留活髓为目的的治疗方法,如直接盖髓术、间接盖髓术和牙髓切断术等。
2、牙髓病变是全部的或不可逆的,选择以去除牙髓、保存患牙为目的的治疗方法——根管治疗。
技术介绍
成都春天牙科率先引进的显微根管治疗成功率在90%以上,是目前保存患牙比较好的治疗方法。显微根管治疗方法不仅可以保持天然牙齿排列的完整性,预防邻接牙齿的移位、蛀牙、牙周病的发生,还可以保存牙齿的完整,解决假牙制作上的种种困难,效果是非常好的。
显微根管治疗技术优势:
1、对于患者有严重的全身性疾病者(例如:先天性心脏病、糖尿病、结核病、血友病、恶性贫血、风湿性热、白血病、高血压、梅毒等)选用根管治疗可减少危险性。
2、节省费用。由于根管治疗可以保持天然牙处于完整及生物学的适当状态,而不用将患牙拔除,如此就不需借用邻近牙齿来支持假牙装置,免除不正常的压力,并且减少假牙制作的经费。
3、根管治疗可以保持天然牙齿排列的完整性,预防邻接牙齿的移位、蛀牙、牙周病的发生,可防止拔牙后的支持骨质丧失过多,影响脸形的外观及假牙的稳定性,更由于牙齿的保持可解决若干假牙制作上的困难。
4、避免因牙齿早期拔除所造成的不正咬合,进而免除矫正治疗的麻烦。
对比案例

常见问题
1、根尖周炎的症状有哪些?
成都春天牙科:根尖周炎主要表现为叩痛、咬合痛;牙松动、有伸长感,能明确指出患牙,牙变色,根尖周红肿、触痛明显等。
2、根尖周炎的原因是什么?
成都春天牙科:根尖周炎的比较主要致病原因是感染,常常继发于牙髓组织(俗称“牙神经”)的感染坏死,患牙多有龋坏、非龋性牙体疾病,其次是创伤、化学刺激和免疫学因素。
3、治疗根尖周炎需要多少钱?
成都春天牙科:治疗根尖周炎的费用是因人而异的,每个人的牙齿情况不同,所适合的治疗方法也不一样,费用也是不同的。