种植牙可以获得与天然牙功能、结构以及美观效果十分相似的修复效果,已经成为越来越多缺牙朋友们的首选修复方式。因不具破坏性,种植牙已被口腔医学界公认为缺牙的首选修复方式。
成都春天牙科的种植医生经常被顾客问到这样的问题:种植牙后会不会出现种植体松动、伤口裂开、下唇麻木等后遗症,非常担心自己也会出现这样的问题。那么种植牙真的有危害吗?

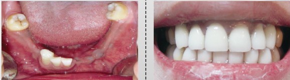
种植牙前后外观对比图


种植牙危害,种植牙后遗症
在春天牙科坐诊的华西口腔种植医生谭教授解说:“出现上述种植牙后遗症的主要原因有两点,技术不过硬的种植医生、品质没有保障的种植体。"而在种植经验丰富的医生操作下和选择品质保证的产品,种植牙是目前首选的牙齿修复方案。想了解种植牙在线咨询医生
劣质产品后遗频发,老人苦不堪言
品质保障顾客满意,春天严格把关
成都双流的李大爷最近来我院咨询说,自己去年在某个牙科诊所种了六颗牙,起初几个月还好好的,可最近发现种的牙就出现了松动现象,而且总是感到牙痛,还伴有牙龈出血的现象,咨询给他做种牙的医生,医生总是敷衍他,说是正常现象,没事。
李大爷感到很无奈,随后去了华西口腔医院,教授级别的医生预约困难,通过门诊医生对他牙片和全景图片的诊断,他的这种情况很难处理。后来得知春天牙科有华西的种植医生谭教授亲诊,又特地辗转来到我院求治。

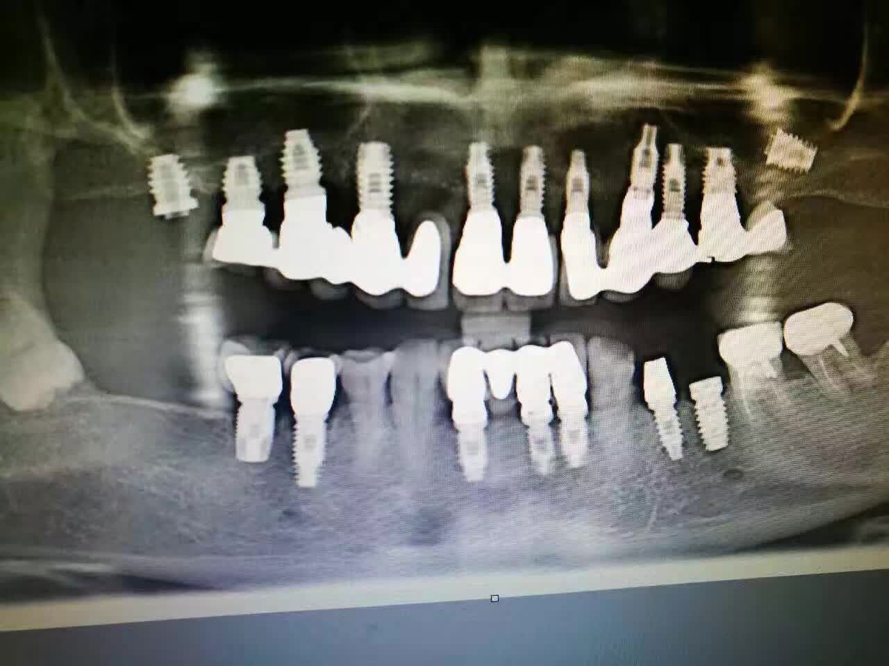
图为我院收治的种植牙典型失败案例口腔全景图
在春天牙科,华西的谭教授看过李大爷的牙片,诊断道:“李大爷的种植手术是很失败的,种植体歪七扭八,受力不均造成种植体断裂,而且还出现了严重的牙骨吸收”,现在只能给他先缓解牙痛问题,而种植体这种根本问题暂时得不到很好的解决。
实际上,李大爷种植牙失败的根本原因有两点:第一,因为医生技术不过关也不负责任,导致种植时没有将种植体准确的安放于牙骨上;第二,因为贪图便宜,选择了没有质量保障的种植体,造成牙骨无法生长并包裹住种植体,而最终导致种植失败。更悲惨的是,所造成的后遗症很难解决,也无法第二次进行种植。
成都春天牙科种植教授特别提醒广大消费者,现在很多机构开展种植牙项目,但种植牙对医生的技术要求特别高,不是随便哪个牙科医生都能种好的,所以选择经验丰富、技术过关的种植医生非常重要。另外,种植体产品良莠不齐,种植牙选择时,一定要确定产品是否过关,是否有品质保障,不能贪图便宜。否则就会出现上述案例发生的无法解决的后遗症。

我院成功实施种植牙口腔全景图
成都春天牙科由华西种植医生谭教授亲自为顾客制定种植方案,并亲自种植。由于谭教授经验丰富、技术过关,且医德服人,得到了很多顾客的认可。预约谭教授亲自种植牙,可点击此处免费预约。
优惠活动:种植牙 种1颗 送1个
成都春天牙科是一家正规的牙科,种植设备完善,医院种植所用的种植体均是有通过药监局认可,且都是经过华西临床运用后推广产品,种植材料层层把关,质量有保障,如果种植体出现假冒伪劣,我们承诺假一赔十。
为回馈新老顾客,成都春天牙科近期推出种植牙“种一送一”的活动,活动优惠具体包括:
1、种一颗牙,送一个全瓷牙冠;
2、免费术前口腔检查;
3、免费预约华西种植教授,免费设计种植方案;
4、一人种植,家庭成员共享洁牙优惠。
享种植牙优惠,点击此处立刻预约。