病症介绍

牙齿缺失一颗,包括门牙缺失,前、后牙缺失等等。
危害
1、牙齿缺失容易导致邻近的牙齿也会逐渐松开,使间隙加大,导致牙齿的过早脱落。
2、缺牙会影响颜面的美观,造成脸部凹陷、肌肉松弛等等。
3、牙齿缺失会造成上下咬合关系改变,破坏咬合力的平衡,久而久之形成牙周病。
4、使咀嚼功能减退,影响了食物的消化吸收。
5、牙齿缺失影响发音。
6、牙齿缺失,连累消化系统。
治疗方法
韩式微创种植牙
技术介绍
春天牙科独家引进的韩式微创种植牙技术特点为微创无痛,采用国际比较顶尖的微创美容治疗技术来完成种植牙的植入过程,切口仅为(2~3毫米),创伤度接近于0,全口种植过程仅需30分钟,而且降低了感染的风险,无论美观度还是功能性完全超越真牙。
技术优势
美观逼真:不损伤原有牙列,美观精致。
微创无痛:电脑无创速导植牙,保障种植的准确性及安全性。
功能性强:不影响真牙的咀嚼咬合功能,牙齿稳固牢靠。
舒适自然:利用欧洲仿生学原理,仿真修复如同真牙,自然舒适。
效果长久:一次修复十年无忧,临床使用寿命长达40年之久。
操作简单:即拔即种,创伤小,一般种植时长30分钟,术后即可进食。
技术保证:国际齿科梦之队常年坐诊,技术行业领先。
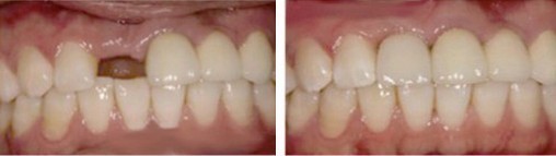
对比案例
![]() |
![]() |
常见问题
1、种植牙手术安全吗?
成都春天牙科医院医生:只要选择的口腔医院,种植牙是非常安全的。
2、种植一颗牙齿需要多少钱?
成都春天牙科医院医生:每个的牙齿情况不同,种植牙所需要的费用也是不同的。点击询价
3、做种植牙后该怎样护理牙齿?
成都春天牙科医院医生:不要咀嚼坚硬的食物,如核桃、坚果等等;定期做口腔检查;戒烟酒及刺激性食物;适当补充钙制剂等等都可以有效护理牙齿。

