四环素牙的患者通常会感到很尴尬,因为自己牙齿颜色着色情况实在很严重,内心纠结治疗的同时,也担心这个缺陷会遗传给自己的孩子。那么,成都人四环素牙会遗传吗?
成都人四环素牙会遗传吗?成都春天牙科医生指出,实上,四环素牙是指四环素族药物引起的着色牙,属于口腔科疾病。病因是在牙齿发育过程中,因为矿化期服用四环素族药物,被结合到牙组织内,使牙着色。四环素还可在母体通过胎盘引起乳牙着色。
而对于顾客“成都人四环素牙会遗传吗?”的疑问,牙医指出,从遗传学角度来说,四环素牙是不会遗传的,因此广大的四环素牙患者对于这个是不需要担心的。
但是,如果孕妇在怀孕期间服用了四环素,四环素就会通过胎盘影响胎儿期发育的乳牙牙色,因此,怀孕期间的妇女一定要注意,禁用四环素。

四环素牙的形成是因为儿童在发育矿化期服用四环素药物,导致牙齿变成棕黄色、灰褐色或更深,严重的还会使牙釉质发育不全,牙齿有裂纹、残缺,牙齿表面坑坑洼洼非常难看。
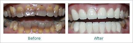
所以四环素牙本之上是牙本质和牙釉质被四环素药物染色,所以在临床上对四环素牙的治疗一般采取物理的修复方法或者化学的还原美白方法。
除了四环素牙外,临床上常见的变色牙主要有:氟斑牙、黑黄牙、死髓牙。这些牙齿着色问题都需要进行美白修复。
成都春天牙科针对不同的牙齿变色问题采用不同的美白方法,包括冷光美白技术、牙齿美白技术,若除了需要美白牙齿,还有其他 的需求如让牙齿排列整齐,关闭牙缝隙,修复磨损的牙齿,那么,瓷贴面是比较适合的治疗方法。
以上是春天牙科医生对“成都人四环素牙会遗传吗?”的介绍,如果您有牙齿美白需要,请点击在线咨询,医生会详细给您解答。