病症介绍
黑黄牙即是牙齿发黑发黄,形成的原因一般有三种:种是氟斑牙,为饮水中氟元素浓度过高所致。第二种是四环素牙,为儿童时期经常服用四环素类药物所致。第三种是吸烟、喝咖啡、喝茶,色素沾附于牙齿上所致。
危害
1、影响牙齿的色泽和美观,损坏个人形象,使人自卑。
2、牙齿不干净,口腔致病因素较多,会引发各种口腔疾病及全身性疾病。
治疗方法
1、轻度黑黄牙首选美国Beyond蓝光美白。
2、中、重度黑黄牙,首选纯韩仿生美牙冠、瓷贴面。
技术介绍
1、美国Beyond蓝光是好莱坞明星及政商要员及高端人士的美白首选,在欧美,已有超过4百万人用蓝光美白技术美白牙齿,它被称为效果比较好的午休美容项目,美白效果更直接更持久,并迅速在日韩、中国普及。仅需30分钟,其效果可提高5~15个vita色阶,能有效地抑制牙菌斑的形成。它的优势在于无刺激、保护牙齿,美白效果持久。
2、纯韩仿生美牙冠适用于重度黑黄牙,四环素牙,氟斑牙,仅需一小时,即刻解决牙齿黑黄问题。采取美牙冠的方法,不仅可以改变牙齿的颜色,如果牙齿不整齐,还可以把牙齿排列整齐,使牙齿变得美白光滑,且没有后遗症。纯韩仿生美牙冠优势在于效果好,牙齿色泽自然,并且可以改善脸型。
3、瓷贴面是指在不磨牙或少磨牙的情况下,应用粘接材料,将薄层瓷修复体固定于患牙唇、颊面,以恢复影响美观的缺损、遮盖变色等缺陷的一种修复方法。因其对牙髓刺激小,颜色稳定、美观,具有良好的生物相容性、耐磨损,不易着色等特点,易被患者接受。
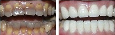
对比案例
![]() |
(蓝光美白效果) |
![]() |
(纯韩仿生美牙冠效果) |
![]() |
(瓷贴面效果) |
常见问题
1、黑黄牙美白要多少钱?
成都春天牙科医生:每个人的牙齿情况不同,所采用的治疗方法也不同,因此费用也是不同的。
2、预防牙齿发黑发黄要注意哪些事项?
成都春天牙科医生:养成饭后漱口、刷牙的习惯,不抽烟、少喝咖啡,定期洗牙都可以有效预防牙齿发黑发黄。
3、美牙冠美白黑黄牙需要多长时间?、
成都春天牙科医生:牙博士率先引进的纯韩仿生美牙冠技术仅需1小时即可美白牙齿。


