病症介绍

牙结石又称牙石,它是由食物残渣、坏死脱落的口腔上皮细胞及唾液中的矿物质钙化后附着在牙齿表面而形成的,呈现出黄色、棕色、或者黑色。
症状
牙结石通常存在于唾液腺开口处的牙齿表面(例如:下颚前牙的舌侧表面,上颚后牙的颊侧表面)和牙齿的颈部,以及口腔粘膜运动不到的牙齿表面等处。牙结石开始时是软软的,会因逐渐的钙化而变硬并呈现出黄色、棕色、或者黑色。通俗地说:"牙结石即牙垢",是附着在牙面上的矿化的菌斑和其他沉积物的总称。
危害
1、牙结石会不断刺激牙周组织,并且会压迫牙龈,影响血液循环,造成牙周组织的病菌感染,引起牙龈发炎、萎缩,形成牙周袋。
2、牙周袋形成后会进一步破坏更深的牙周膜,腐蚀和侵害牙槽骨,如此不断地恶性循环,比较终使牙周支持组织全部破坏殆尽,拔牙也成为比较终的选择。
治疗方法
法国720°深层洁牙
技术介绍
牙博士口腔采用的法国720°深层洁牙是牙菌斑的克星,仅需三十分钟可快速清除牙菌斑,牙结石,保证口腔清洁健康。法国720°深层洁牙护理套餐!(法国赛特利自动巡航洁牙+德国卡瓦喷沙洁牙+全方位牙检)
(1)法国赛特利自动巡航洁牙:利用超声波在液体中的空化作用、加速度作用及直进流作用对液体和污物直接、间接的作用,使污物层被分散、乳化、剥离而达到清洗目的。超声波清洗对大肠杆菌和葡萄球菌等具有很好的杀菌作用,杀菌率达到99。6%.清洗速度快,清洗效果好,清洁度高,安全可靠,更可以强有力的清洗微小的污渍颗粒。
(2)德国卡瓦喷沙洁牙:喷砂能把附着在牙齿上的茶垢、烟垢及食物软垢清理干净,喷过砂的牙齿非常光洁,且不易再次沉积牙石,所以洗牙和喷砂应结合进行。
技术优势:
(1)安全:对牙齿无损伤,整个过程严格执行无菌操作,通过美国FDA认证。
(2)有效:对牙结石、烟斑等洗后即可见卓越清洁效果。
(3)快速:一次洗牙,只需要30分钟就可以完成。
(4)轻松:不需要麻药,无副作用,在休闲等待中轻松度过。
(5)精确:工作尖精细恒定,准确到位。
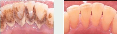
对比案例
![]() |
![]() |
常见问题
1、牙结石是怎样形成的?
成都春天牙科医生:牙结石是由食物残渣、坏死脱落的口腔上皮细胞及唾液中的矿物质钙化后附着在牙齿表面而形成的。
2、刷牙可以去除牙结石吗?
成都春天牙科:刷牙是预防牙结石形成的一种常用、简便而有效的方法。经常刷牙可将刚刚开始沉积于牙面的牙垢、牙结石及时刷掉。但是如果牙结石比较多,比较常久,是不能靠刷牙来清除的,要通过洗牙来解决。
3、去除牙结石比较好的方法?
成都春天牙科:目前来讲洗牙是去除牙结石比较好的方法,牙博士采用的法国720°深层洁牙技术,一次洗牙仅需30分钟,不需要麻药,无副作用,可以即刻清除牙结石。

