病症介绍

色素牙包括黄牙、黑牙、四环素牙、氟斑牙、药物性变色牙、遗传性黄牙、外因性色素牙(咖啡、茶渍、烟渍沉积)等等,主要表现就是牙齿黑、黄不好看。
原因
1.饮食、烟茶咖啡等附着于牙齿表面,黄或黑色,
2.小时候吃过多的四环素药物造成四环素牙齿,牙齿呈灰、黄或棕色。
3.牙齿发育钙化期中饮用了氟含量过高的水导致氟斑牙。依受影响的程度不同,可呈白垩色,黄褐色或暗棕色。
危害
1、影响外在形象。色素牙患者一笑就会露出一口黑黄的牙齿,十分影响个人形象。
2、影响心理健康。每个人都希望自己看起来优雅、漂亮,色素牙非常影响个人形象,因此很多人会为些自卑、自闭,不喜欢跟人交流。
治疗方法
1、轻度四环素牙首选美国Beyond蓝光美白。
2、中、重度四环素牙,首选纯韩仿生美牙冠、瓷贴面。
技术介绍
1、美国Beyond蓝光美白是好莱坞明星及政商要员及高端人士的美白首选,在欧美,已有超过4百万人用蓝光美白技术美白牙齿,它被称为效果比较好的午休美容项目,美白效果更直接更持久,并迅速在日韩、中国普及。仅需30分钟,其效果可提高5~15个vita色阶,能有效地抑制牙菌斑的形成。它的优势在于无刺激、保护牙齿,美白效果持久。
2、纯韩仿生美牙冠是牙博士口腔独家引进的韩国YE牙科集团比较、比较成熟、比较具国际品质的技术之一,该技术以YE独有的3-3-4-4黄金美齿法则独步国际齿科美容界,具有快速正畸、让美齿、矫齿、治齿一步到位的功效。具有美牙不拔牙,无痛苦,时间短(只需7天),牙齿坚固,牙龈不会出现黑线等优点,从而达到终生有保障的美牙效果。
3、瓷贴面是指在不磨牙或少磨牙的情况下,应用粘接材料,将薄层瓷修复体固定于患牙唇、颊面,以恢复影响美观的缺损、遮盖变色等缺陷的一种修复方法。因其对牙髓刺激小,颜色稳定、美观,具有良好的生物相容性、耐磨损,不易着色等特点,易被患者接受。
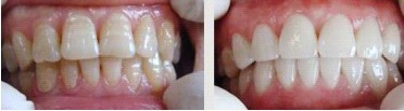
对比案例
![]() |
(蓝光美白效果) |
![]() |
(纯韩仿生美牙冠效果) |
![]() |
(瓷贴面效果) |
常见问题
1、美国Beyond蓝光美白效果可以持续多久?
成都春天牙科:美国Beyond蓝光美白采用的是低温冷光,不产生热效应,完全避免了操过程中牙神经的不适,不会伤害任何口腔组织,在轻松舒适的过程中,牙齿悄然洁白光亮,美白效果可维持两年以上。
2、纯韩仿生美牙冠美白牙齿会不会痛?
成都春天牙科:纯韩仿生美牙冠采用WAND无痛技术,美牙不需动及牙齿根部,整个过程轻松无痛。
3、色素牙美白贵不贵?
成都春天牙科:每个人的牙齿情况不同,所采用的牙治疗方法也不同,因此牙齿美白的费用也是不同的。


