病症介绍

所谓烟渍,就是经常吸烟的人在牙齿上留下的一种牙渍;它的形成是由于人的口腔环境是酸性,长期与口腔内的食物残渣等碱性残留物发生化学反应后,附着在牙表面上的非完全反应衍生物,实际上也是一种盐化合物,尤其是烟里含有一种"咖啡碱",在酸性口腔中反应很容易形成牙渍,每天都抽烟的人,积累下来,烟渍就很严重,沉积在牙齿表面或者根部,就成了烟渍牙。
危害
1.烟渍牙影响个人形象。
2.烟渍牙影响心理健康,很多人会因为烟渍牙而自卑、消极、不愿意跟他人交往。
3、影响口腔健康。
治疗方法
1、轻度四环素牙首选美国Beyond蓝光美白。
2、中、重度四环素牙,首选纯韩仿生美牙冠、瓷贴面。
技术介绍
1、美国Beyond蓝光美白是好莱坞明星及政商要员及高端人士的美白首选,在欧美,已有超过4百万人用蓝光美白技术美白牙齿,它被称为效果比较好的午休美容项目,美白效果更直接更持久,并迅速在日韩、中国普及。仅需30分钟,其效果可提高5~15个vita色阶,能有效地抑制牙菌斑的形成。它的优势在于无刺激、保护牙齿,美白效果持久。
2、纯韩仿生美牙冠是牙博士口腔独家引进的韩国YE牙科集团比较、比较成熟、比较具国际品质的技术之一,该技术以YE独有的3-3-4-4黄金美齿法则独步国际齿科美容界,具有快速正畸、让美齿、矫齿、治齿一步到位的功效。具有美牙不拔牙,无痛苦,时间短(只需7天),牙齿坚固,牙龈不会出现黑线等优点,从而达到终生有保障的美牙效果。
3、瓷贴面是指在不磨牙或少磨牙的情况下,应用粘接材料,将薄层瓷修复体固定于患牙唇、颊面,以恢复影响美观的缺损、遮盖变色等缺陷的一种修复方法。因其对牙髓刺激小,颜色稳定、美观,具有良好的生物相容性、耐磨损,不易着色等特点,易被患者接受。
对比案例
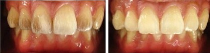
![]() |
(蓝光美白效果) |
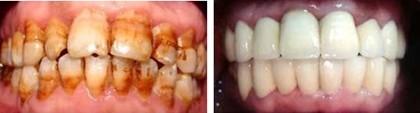
![]() |
(纯韩仿生美牙冠效果) |
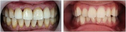
![]() |
(瓷贴面效果) |
常见问题
1、瓷贴面美白烟渍牙会不会损害牙齿?
成都春天牙科:瓷贴面色泽好,形态好,跟真牙几乎毫无区别,它的制作工艺很精细,是治疗牙体缺损、牙列缺失的主要方法,丝毫不会损害牙齿。
2、纯韩仿生美牙冠的美白效果怎么样?
成都春天牙科:纯韩仿生美牙冠可以彻底解决烟渍牙,不仅可以让牙齿恢复白皙,还能矫正不齐的牙齿,治齿、美齿、矫齿一步到位,可以达到终身美牙的效果。
3、蓝光美白的效果可以持续多久?
成都春天牙科:美国Beyond蓝光美白采用的是低温冷光,不产生热效应,完全避免了操过程中牙神经的不适,不会伤害任何口腔组织,在轻松舒适的过程中,牙齿悄然洁白光亮,美白效果可维持两年以上。


