病症介绍

茶渍牙是外源性色素牙中的一种,主要是由于长期饮茶所造成的。中国人素有喝茶养生的习惯,但是长年累月的喝茶也会导致牙齿黄黑的问题,因此茶渍牙给很多爱美的人士带来诸多烦恼。茶渍牙会导致牙齿发黄、发黑,是比较影响个人形象的。
危害
1、影响外在形象,外因性色素牙患者一笑就会露出一口黄牙、黑牙,这会对一个人在外在形象造成极大的影响。
2、影响心理健康,很多人会因为牙齿不好看而产生自卑心理,不想与人交往,从而引发各种心理疾病。
3、茶渍牙影响身体健康。茶渍牙是茶渍浮在牙齿上的茶渍,茶渍就是茶水污垢,简称茶渍或茶垢,它含有镉、铅、铁、砷、汞等多种金属物质。茶渍残留在牙齿上带入身体,与食物中的蛋白质、脂肪和维生素等营养化合,生成难溶的沉淀,阻碍营养的吸收。同时,这些氧化物进入身体还会引起神经、消化、泌尿造血系统病变和功能紊乱,尤其是砷、镉可致癌,引起胎儿畸形,危害健康。
治疗方法
1、轻度四环素牙首选美国Beyond蓝光美白。
2、中、重度四环素牙,首选纯韩仿生美牙冠、瓷贴面。
技术介绍
1、美国Beyond蓝光美白是好莱坞明星及政商要员及高端人士的美白首选,在欧美,已有超过4百万人用蓝光美白技术美白牙齿,它被称为效果比较好的午休美容项目,美白效果更直接更持久,并迅速在日韩、中国普及。仅需30分钟,其效果可提高5~15个vita色阶,能有效地抑制牙菌斑的形成。它的优势在于无刺激、保护牙齿,美白效果持久。
2、纯韩仿生美牙冠是牙博士口腔独家引进的韩国YE牙科集团比较、比较成熟、比较具国际品质的技术之一,该技术以YE独有的3-3-4-4黄金美齿法则独步国际齿科美容界,具有快速正畸、让美齿、矫齿、治齿一步到位的功效。具有美牙不拔牙,无痛苦,时间短(只需7天),牙齿坚固,牙龈不会出现黑线等优点,从而达到终生有保障的美牙效果。
3、瓷贴面是指在不磨牙或少磨牙的情况下,应用粘接材料,将薄层瓷修复体固定于患牙唇、颊面,以恢复影响美观的缺损、遮盖变色等缺陷的一种修复方法。因其对牙髓刺激小,颜色稳定、美观,具有良好的生物相容性、耐磨损,不易着色等特点,易被患者接受。
对比案例
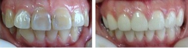
![]() |
(蓝光美白效果) |
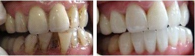
![]() |
(纯韩仿生美牙冠效果) |
![]() |
(瓷贴面效果) |
常见问题
1、茶渍牙美白需要多少钱?
成都春天牙科;每个人的牙齿情况不同,所采用的牙治疗方法也不同,因此牙齿美白的费用也是不同的。点击咨询具体价格
2、纯韩仿生美牙冠的美白效果怎么样?
成都春天牙科:纯韩仿生美牙冠可以彻底解决茶渍牙,不仅可以让牙齿恢复白皙,还能矫正不齐的牙齿,治齿、美齿、矫齿一步到位,可以达到终身美牙的效果。
3、蓝光美白的效果可以持续多久?
成都春天牙科:美国Beyond蓝光美白采用的是低温冷光,不产生热效应,完全避免了操过程中牙神经的不适,不会伤害任何口腔组织,在轻松舒适的过程中,牙齿悄然洁白光亮,美白效果可维持两年以上。


