项目介绍
儿童正畸主要是通过牙套矫正不齐的牙齿。其原理是对不整齐的牙齿施以温和而持久的生物力,即每平方厘米20~26克的力值,既可完成牙齿的移动,而又不损害牙齿及其周围组织的健康。
适应症
个别牙错位、牙列拥挤、牙齿不整齐、牙间隙、前牙反合、地包天、暴牙、虎牙等各种儿童牙齿问题都可以通过正畸来解决。
正畸方法
1、韩式传统正畸
2、韩式半隐形正畸
3、韩式隐形正畸
技术介绍
1、韩式传统正畸的金属托槽表面光滑,体积小巧,结实耐用,槽沟准确,制作精良,有助于牙齿的完美排列,托槽边缘特有的圆润化处理减少了对口腔黏膜的不良刺激。进口自锁托槽复诊时间延长至8-10周,活动翼托槽更是大大缩短了矫正疗程。
2、韩式半隐形正畸主要是以崭新的3D立体电脑技术,量身定制一系列近乎无法察觉的透明牙托来完成整个矫正疗程的一项技术,只露出中间的一条小细线,美观度好。韩式半隐形矫正,价格适中,隐形效果也好,性价比较高。
3、韩式隐形正畸是欧洲齿科材料的巅峰之作,采用高弹性纳米材料分子,完全透明隐形,隐蔽性极好,且可以自行摘带矫正器,方便清洁,矫治疗程缩短将近三分之一的时间。可以实现隐形矫牙的梦想,毫无察觉间让牙齿"悄然"变美。
技术优势
1、韩式传统正畸
(1)尖端材料:采用世界百年名牌美国3M公司原装进口矫治系统。外形小巧美观,易于清洁,高效。
(2)省时便捷:缩短正畸疗程近三分之一时间,复诊间隔时间延长为8-12周,为患者大大节省了时间。
(3)恢复时间:佩戴矫正器1-2年,具体视情况而定。
2、韩式半隐形正畸
(1)品质,国际化医生及设备:遵循《国际牙医协会》标准建设;进口欧美、日韩高端口腔医疗设备和技术;国际品质的私人口腔顾问,提供欧美国际标准的牙医服务;
(2)精准,现代科学保障完美效果:通过计算机三维图像技术模拟牙齿移动过程,制成矫治器,戴上后牙齿将准确的向设计好的方向移动、矫正完全达到预期的精准理想效果;
(3)效果显著:采用的直丝弓的托槽角度已经预先设计好,牙齿会顺着预定的方向生长,而不需要医生进行多次手动调节,不仅缩短了正畸的时间跨度,还能更好的保证矫治效果;
(4)清洁,口腔卫生维护更方便:矫正器可自行摘取,口腔卫生容易维护,而且不必担心牙龈炎、牙齿脱矿、变色等问题。
(5)佩戴矫正器1-2年,具体视情况而定。
3、韩式隐形正畸
(1)国际领先的纳米透明隐形材料:牙博士牙齿矫正矫治器采用纳米技术研制,材料小巧迷你,透明无色。在使用过程中不易沾染食物、不易变色等特点,为你去除牙箍的烦恼。
(2)业内超低的拔牙率(3%以下):与行业50%的拔牙率相比,牙博士口腔凭借纯正的韩式技术,将拔牙率控制在3%以下。
(3)全球领先的四维精密矫正技术:牙博士韩式矫正技术运用四维矫正技术,不仅能做到立体化矫正,而能随时间变化与矫正角度的完美结合,不断改善脸型特征。
(4)牙齿矫正和脸型的完美结合:牙博士口腔使用韩式四维矫正技术指定牙齿矫正过程,结合三庭五眼,制成科学理想的矫正过程,以保证达到理想预定效果。
(5)全程安全舒适无异物感:相对传统矫正治疗,受术者采用牙博士韩式矫正技术过程更轻松舒适,避免使用矫治器出现的异物感和其他不适。
(6)高效快捷缩短一半矫正时间:牙博士无托槽隐形矫正治疗相对传统矫正治疗时间更短,复诊间隔次数更少,比传统矫正缩短一半的时间。
儿童比较佳正畸时间
1、乳牙期阶段(4-5岁)
该期主要适用于乳牙反颌(地包天),早期矫治有利于上颌骨发育,预防恒牙反颌。如果孩子有不良习惯(如伸舌、咬唇等),在这个阶段也可以得到纠正。
2、替牙期阶段(女孩:8-10岁,男孩:9-12岁)
适用于由于不良习惯、舌干扰等因素引起的功能性错颌和骨性错颌早期病人。在替牙阶段你如果发现孩子有不良习惯(如咬唇、伸舌、前伸下颌等),面型和牙齿排列异常等情况,应及时带孩子到医院找正畸医师检查咨询,以确定病因、治疗的时间和方案。
这个阶段是孩子生长发育的青春前期和高峰期,如果你的孩子是功能性或骨性错颌畸形,那么在这个阶段治疗可以充分利用颌骨的生长潜能,以确保牙齿移动及牙槽骨改建的效率达到比较佳状态,从而取得完美的矫正效果。
3、恒牙期阶段(女孩:11-14岁,男孩:13-15岁)
一般常见的错颌畸形在这个阶段都可以得到很好的治疗。另外,个别严重的错颌畸形,如有家族史的"严重反颌",应在18岁后行正颌外科手术治疗,达到理想的效果。
对比案例
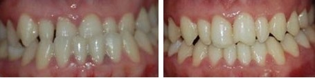
![]() |
(韩式传统正畸) |
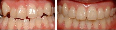
![]() |
(韩式半隐形正畸) |
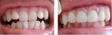
![]() |
(韩式隐形正畸) |
常见问题
1、传统正畸后会不会痛?
成都春天牙科:牙齿正畸是通过外力使牙齿排列整齐,会有一点不会舒服,特别是刚戴矫正器有点不适应,牙齿会有酸痛感,这种感觉基本上是轻微的,常人都可以忍受的。
2、半隐形矫正安全吗?
成都春天牙科:半隐形矫正是非常安全的,矫正过程主要是对牙齿施以温和而持久的生物力。
3、隐形牙齿矫正需要多少钱?
成都春天牙科:每个人的牙齿情况不同,所适合的矫正方式不同,因此费用也是不同的。


